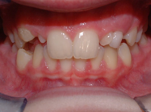
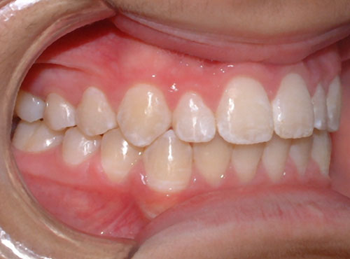
"Here are some patients who were treated by Dr. Frial with common orthodontic issues."
1. Crowding of the teeth


2. Open Bite (Front Teeth Don't Touch) - Required Phase I & Phase II


3. Deep Overbite (Lower Front Teeth Bite into Palate)


4. Peg Lateral Incisors - Peg Laterals were bonded with tooth-colored composite


5. Underbite (Lower Front Teeth in Front of Upper Teeth) - Required Phase I & Phase II


6. Spacing of Teeth


7. Overjet: protruding front teeth

