Menu
Home
About
Meet
Dr.
Frial
Meet
the
Team
What
Sets
Us
Apart
Office
Tour
Testimonials
Privacy
Policy
Contests
and
Events
Get
Started
Office
Visits
Patient
Forms
Before
and
After
Online
Services
Financial
Information
Orthodontics
Orthodontics
for
Children
Orthodontics
for
Teens
Orthodontics
for
Adults
Common
Orthodontic
Issues
Life
with
Braces
Brushing
and
Flossing
Retainer
Instructions
Orthodontic
FAQs
Types
of
Braces
Types
of
Appliances
Patient
Care
Videos
Services
Early
Orthodontic
Treatment
Dentofacial
Orthopedics
Palatal
Expander
Emergency
Care
Clarity™
Advanced
Clear
Braces
Opal®
Seal™
Herbst
Appliance
Diode
Laser
Treatment
iTero®
Element™
VPro+
Forsus™
Surgical
Orthodontics
Invisalign®
Invisalign®
Info
Invisalign
Teen®
Info
Invisalign®
FAQs
Invisalign®
Before
&
After
Contact
Office
Location
Appointment
Request
Virtual
Consultation
Refer
a
Patient
Write
A
Review
Glenn P. Frial, DDS, MS, APC
(949) 276-2105
Patient
Login
(949) 276-2105
Invisalign® Before & After
Invisalign® Info
|
Invisalign Teen® Info
|
Invisalign® FAQs
|
Invisalign® Before & After
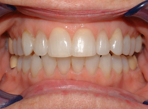
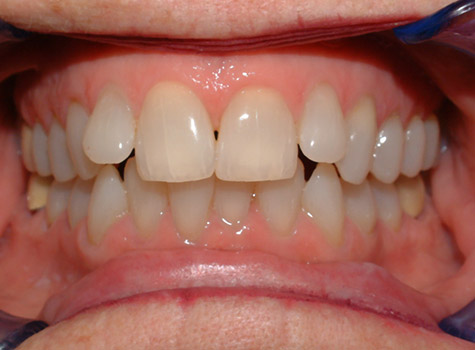
Here are some examples of Dr. Frial’s work with Invisalign:
Before
After
Invisalign® Info
|
Invisalign Teen® Info
|
Invisalign® FAQs
|
Invisalign® Before & After
Contact Us!
textsms
call
email